Wählen Sie KURIER als bevorzugte Google-Quelle

Ist der Nutzen von Rauchverboten sichtbar?

Was wirklich hinter populären Gesundheitstrends steckt.
Ein rotes, rundes Schild mit einem durchgestrichenen Zigarettensymbol weist auf ein Rauchverbot hin.
Ein rotes, rundes Schild mit einem durchgestrichenen Zigarettensymbol weist auf ein Rauchverbot hin.

Tabakindustrie unter Druck
Eine Hand hält eine brennende Zigarette, von der Rauch aufsteigt.

Jugendliche rauchen, Rauchverbot für Jugendliche…
Eine detaillierte Darstellung der menschlichen Atemwege, von der Nase bis zu den Bronchiolen.

DSC_4288.jpg
Ein Mann hält seine Hand auf seine Brust.

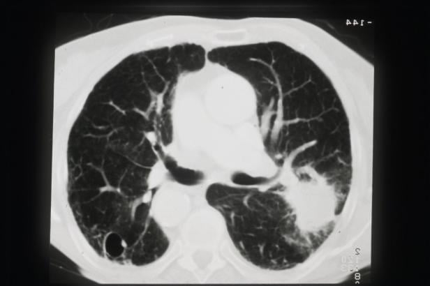
Ein CT-Scan der Lunge zeigt eine mögliche Erkrankung.

Eine Illustration des menschlichen Herzens mit einem EKG-Diagramm im Vordergrund.

Bildnummer: 67194283 anatomie blutdruck diagnos…
Das Logo von medizin-transparent.at mit dem Slogan „Wissen was stimmt“.

Kommentare